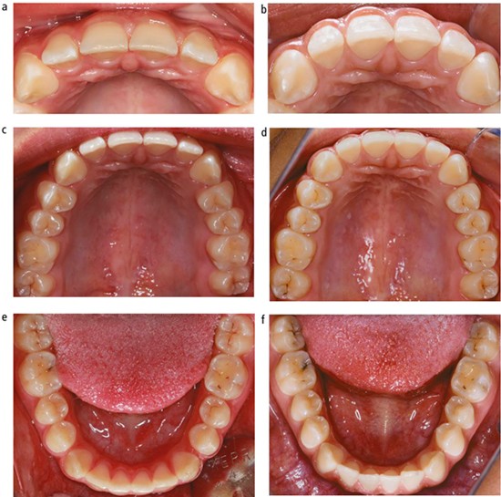
Tooth Erosion

Tooth erosion, also known as dental erosion or acid erosion, is the gradual loss of tooth enamel caused by the exposure to acidic substances. Tooth enamel is the hard, protective outer layer of your teeth, and when it wears away, it can lead to tooth sensitivity, discoloration, and increased susceptibility to cavities. There are several causes of tooth erosion, and it's important to understand them in order to prevent and treat it effectively.

Causes of Teeth Erosion:

  • Acidic Foods and Drinks: Consuming highly acidic foods and beverages, such as citrus fruits, carbonated sodas, fruit juices, and vinegar, can directly erode tooth enamel over time.
  • Gastrointestinal Issues: Conditions like acid reflux, GERD (gastroesophageal reflux disease), or frequent vomiting expose teeth to stomach acid, which can cause erosion.
  • Medications: Some medications, particularly those with a high acid content, can contribute to tooth erosion as a side effect.

Prevention of Tooth Erosion:

  • Dietary Changes: Limit your consumption of acidic foods and drinks. If you do consume them, rinse your mouth with water afterward to help neutralize acids.
  • Use a Straw: When drinking acidic beverages, use a straw to minimize direct contact with your teeth.
  • Maintain Good Oral Hygiene: Brush your teeth gently with a soft-bristle toothbrush at least twice a day and floss daily. Avoid brushing immediately after consuming acidic foods or drinks, as the enamel can be softened and more susceptible to damage.
  • Chew Sugar-Free Gum: Chewing sugar-free gum can stimulate saliva production, which helps neutralize acids and remineralize enamel.
  • Regular Dental Checkups: Visit your dentist for regular checkups and cleanings to catch and address any early signs of tooth erosion.

Treatment of Tooth Erosion:

Treatment for tooth erosion depends on the extent of enamel damage:

  • Fluoride Treatment: In the early stages of erosion, your dentist may recommend fluoride treatments to help remineralize and strengthen your enamel.
  • Dental Bonding: If erosion has led to cosmetic concerns or increased tooth sensitivity, dental bonding can be used to repair and protect the affected teeth.
  • Veneers or Crowns: In more severe cases, where substantial enamel loss has occurred, veneers or crowns may be needed to restore the appearance and function of the teeth.
  • Lifestyle Changes: Addressing the underlying causes, such as dietary modifications or managing acid reflux, is crucial to prevent further erosion.

It's essential to consult with a dentist if you suspect tooth erosion or experience symptoms like increased sensitivity, discoloration, or tooth pain. Early intervention can help prevent further damage and maintain your oral health