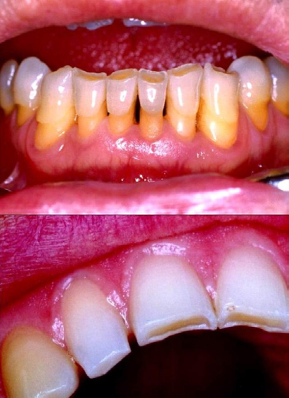
Teeth Attrition

Teeth attrition is the process of gradual tooth wear that occurs over time due to normal chewing and grinding actions. This natural wear happens as the teeth make contact with each other during various activities such as eating, speaking, and grinding. Unlike teeth abrasion, which is caused by external factors like aggressive brushing or abrasive toothpaste, teeth attrition is a result of the normal function of the teeth.

Here are some key points about teeth attrition:

Causes of Teeth Attrition:

  • Chewing: Chewing food puts pressure on the teeth, causing them to come into contact and wear down gradually.
  • Grinding and Clenching: People who grind or clench their teeth, a condition known as bruxism, can experience accelerated teeth attrition. Bruxism often occurs during sleep or due to stress.
  • Malocclusion: Teeth that are misaligned, crooked, or have an improper bite can cause uneven distribution of forces during chewing, leading to localized attrition.

Effects of Teeth Attrition:

  • Worn Enamel: The outermost layer of the teeth, enamel, can wear down over time, exposing the underlying dentin. This can lead to increased sensitivity and potential aesthetic concerns.
  • Altered Bite: Excessive attrition can result in changes to the way your teeth fit together (occlusion). This can affect your bite and jaw alignment.
  • Tooth Sensitivity: As enamel wears away, dentin becomes exposed, which can lead to heightened tooth sensitivity to temperature changes and certain foods.
  • Increased Risk of Cavities: Worn enamel is more susceptible to cavities, as it provides less protection against bacteria and acids.

Prevention and Care:

  • Use a Mouthguard: If you grind your teeth at night or during stressful periods, wearing a night guard can help protect your teeth from excessive attrition.
  • Manage Stress: Stress management techniques can help reduce teeth grinding and clenching.
  • Address Malocclusion: If your teeth are misaligned or you have bite issues, consult with an orthodontist to correct the alignment and improve the distribution of forces during chewing.
  • Regular Dental Check-ups: Regular dental visits allow your dentist to monitor the condition of your teeth, identify signs of attrition, and provide preventive measures.
  • Fluoride Treatment: Fluoride can help strengthen enamel and reduce the risk of cavities on worn surfaces.
  • Proper Oral Hygiene: Maintain good oral hygiene to protect your teeth from decay and gum issues. Use a fluoride toothpaste and brush gently.

Teeth attrition is a natural process that occurs over time, but its effects can be managed through preventive measures and regular dental care. If you're experiencing tooth sensitivity, changes in bite, or other concerns related to tooth wear, consult your dentist for advice on appropriate treatments and strategies to protect your teeth.