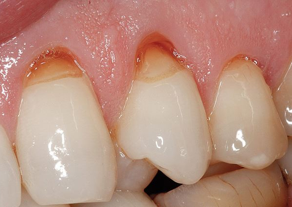
Teeth Abrasion

Teeth abrasion refers to the gradual wearing down of tooth enamel due to factors such as excessive brushing, aggressive tooth brushing techniques, or the use of abrasive toothpaste. Enamel is the hard, outermost layer of the teeth that protects them from damage and decay. When enamel wears away, it can lead to tooth sensitivity, increased risk of cavities, and aesthetic concerns.

Here are some key points about teeth abrasion and how to prevent it:

Causes of Teeth Abrasion:

  • Aggressive Brushing: Brushing too hard or using a hard-bristled toothbrush can wear down enamel over time.
  • Abrasive Toothpaste: Some toothpaste formulas contain abrasive particles that, when used consistently, can contribute to enamel wear.
  • Improper Technique: Brushing with a back-and-forth scrubbing motion rather than a gentle circular motion can contribute to enamel abrasion.
  • Frequent Acidic Exposure: Consuming acidic foods and beverages excessively can soften the enamel, making it more susceptible to abrasion.

Prevention and Care:

  • Use a Soft-Bristled Toothbrush: Choose a toothbrush with soft bristles to minimize enamel wear and gum irritation.
  • Gentle Brushing: Brush your teeth using a gentle, circular motion. Avoid excessive pressure or aggressive scrubbing.
  • Choose Mild Toothpaste: Opt for toothpaste with low abrasiveness. Look for toothpaste brands that are endorsed by dental professionals.
  • Wait After Acidic Foods: If you've consumed acidic foods or drinks, wait about 30 minutes before brushing your teeth. Acidic conditions temporarily soften enamel, and immediate brushing can contribute to wear.
  • Use Fluoride Toothpaste: Fluoride helps strengthen enamel and protect against cavities. Use a fluoride toothpaste to maintain enamel health.
  • Regular Dental Check-ups: Schedule regular dental check-ups and cleanings. Your dentist can monitor the condition of your enamel and provide guidance on proper oral care.
  • Limit Acidic Foods and Drinks: Reduce consumption of acidic foods and beverages like citrus fruits, sodas, and vinegar-based products.
  • Avoid Teeth Grinding: If you have a teeth grinding habit (bruxism), discuss options for managing it with your dentist. Grinding can accelerate enamel wear.

If you suspect that you have already experienced enamel abrasion, consult your dentist. They can evaluate the condition of your teeth, provide recommendations for preventing further wear, and suggest treatments to address sensitivity or other issues caused by enamel loss.

Remember that maintaining proper oral hygiene and using gentle oral care practices are crucial for preserving the health of your teeth and enamel. If you have concerns about teeth abrasion or any other dental issues, seeking advice from a dental professional is recommended.